Ветеринарный центр Добровет

Отделение Стоматологии

Так же часто как и у людей у животных возникают стоматологические проблемы. Причиной может служить неправильная гигиена, несбалансированное питание, врожденные патологии а так-же генетическая предрасположенность.


Если у Вашего питомца появился какой либо из этих симптомов:
-неприятный запах изо рта,
-боль или неприятные ощущения при захвате пищи,
-на зубах появился налет или зубной камень,
-кровоточат десна,
-шатаются или выпадают зубы
вам необходимо показать его ветеринарному врачу Стоматологу.


Специалисты ветеринарного центра Добровет проведут комплексную диагностику состояния зубов вашего питомца, назначат лечение и проконсультируют по вопросам профилактикие и ухода за полостью рта.

24/7
Без выходных
Ветеринарная клиника телефон
Круглосуточный Ветеринарный центр
Круглосуточный ветеринарный центр Добровет в Москве. Полная диагностика, стационар для кошек и собак, квалифицированные специалисты.
1695 рублей
прием стоматолога
Ветеринарный центр Добровет
Ультразвуковая чистка зубов
Ветеринарный центр Добровет
Удаление зубов
Ветеринарный центр добровет
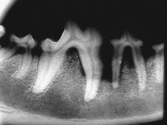
Дентальный рентген

Ветеринарный центр Добровет. Ветеринарный врач Стоматолог. Удаление зубов, ультразвуковая чистка зубов, дентальный рентген.